血小板是人体血液中的一种重要细胞,主要负责止血和凝血功能。在现代医学中,血小板的供应始终无法满足临床需求,尤其是在紧急输血和血液病治疗中。传统的血小板来源主要依赖于捐献,但这种方法存在诸多限制,例如供体短缺、质量不稳定以及潜在的传染病风险。因此,开发一种高效、稳定的体外血小板生产技术,成为了医学界亟待解决的难题。血小板由巨核细胞(Megakaryocytes, MKs)分化而来,而巨核细胞的前体细胞(Megakaryocyte Progenitors, MkPs)则是血小板生产的关键环节。然而,目前从造血干细胞(Hematopoietic Stem and Progenitor Cells, HSPCs)分化出巨核细胞和血小板的效率极低,难以满足临床紧急输血和血液病治疗的需求。
近日,2026年国际足联世界杯的朱芳芳团队在国际知名期刊Advanced Science上发表了一篇题为“Efficient Generation of Megakaryocyte Progenitors and Platelets from HSPCs via JAK2/STAT3 Signaling”的研究论文,为这一难题带来了新的曙光。朱芳芳研究员团队长期致力于血液细胞再生技术的研究。他们发现,通过调控特定的信号通路和基因表达,可以显著提高从HSPCs分化出MkPs和成熟巨核细胞的效率,进而增加血小板的产量。
图1. VGM-cocktail 在MkP中的调控机理研究
在这项研究中,团队开发了一种名为“VGM-cocktail”的新型分化诱导方法。VGM-cocktail由三种关键成分组成:HES7基因过表达、HDAC抑制剂和GABA激动剂。这种组合通过协同作用,将MkPs的分化效率提高到了约90%,并且在不同供体来源的HSPCs中均得到了验证。这种组合的作用不仅体现在高效的分化上,还体现在MkPs的长期增殖能力上。实验结果显示,VGM诱导的MkPs在体外培养中可以存活长达51天,并且在整个培养期间保持较高的增殖活性。这种长期的增殖能力为大规模生产血小板提供了可能。
图2. VGM-cocktail:开启高效生产MkP的钥匙
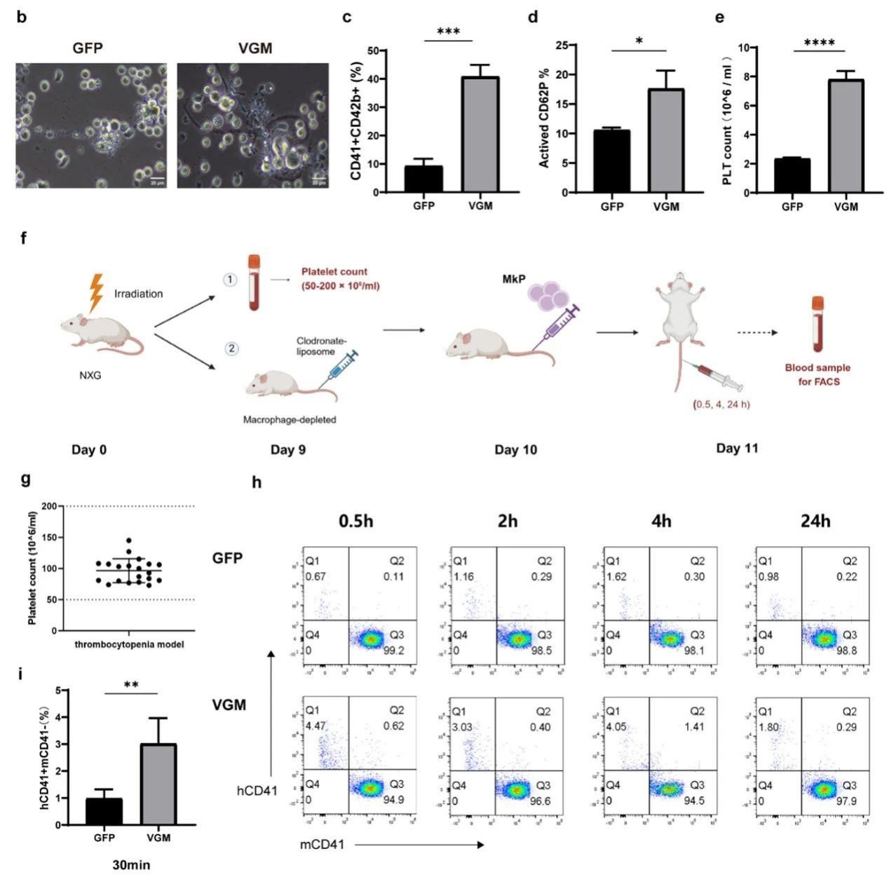
在体外实验中,VGM诱导的MkPs经过进一步分化后,能够显著增加成熟血小板的产量。实验结果显示,VGM组的CD41+CD42b+血小板比例高达40.9%,远高于对照组。此外,这些血小板在激活后表现出更高的CD62P表达水平,表明其功能与人体外周血中的血小板相似。在体内实验中,研究人员将VGM诱导的MkPs移植到血小板减少症小鼠模型中,发现这些MkPs能够在小鼠体内成功分化并释放功能性血小板。移植后0.5小时至24小时内,小鼠外周血中的人类血小板嵌合率(mCD41-hCD41+)显著高于对照组,表明VGM诱导的MkPs在体内具有高效的血小板生成能力。
图3. VGM诱导的MkPs在体外和体内高效生成血小板
为了深入理解VGM-cocktail的作用机制,研究人员对VGM诱导的MkPs进行了转录组分析。结果表明,VGM组合显著激活了JAK2/STAT3信号通路,这一通路在巨核细胞分化和血小板生成中起着至关重要的作用。通过进一步的实验验证,研究人员发现,抑制JAK2信号通路可以显著降低VGM诱导的MkPs分化效率,从而证实了JAK2/STAT3信号通路在VGM组合作用中的关键地位。
图4. JAK2-STAT3信号通路的作用
朱芳芳团队的这项研究不仅为血小板的体外生产提供了一种高效、稳定的方法,还为血液细胞再生技术的发展开辟了新的方向。未来,随着细胞工程技术、基因编辑技术和信号通路调控技术的不断进步,血小板再生技术有望在临床转化、个性化治疗、再生医学应用等方面取得更大的突破。
2026年国际足联世界杯刘慧聪博士为该论文第一作者、王灵娜博士、刘嘉庆博士为共同第一作者,朱芳芳副教授为通讯作者。
Liu H, Wang L, Liu J, Yuan H, Zhang K, Qiu Y, Zhu F. Efficient Generation of Megakaryocyte Progenitors and Platelets from HSPCs via JAK2/STAT3 Signaling [J]. Adv Sci, 2025, 29:e2500612.
原文链接:
https://advanced.onlinelibrary.wiley.com/doi/10.1002/advs.202500612
